Cialis este un tratament eficient pentru disfuncția erectilă, oferind rezultate rapide și de lungă durată. Pe http://mymed.ro/old/cialis.html găsești informații detaliate despre acest medicament, inclusiv doza recomandată și posibilele efecte secundare. Mulți bărbați aleg Cialis datorită acțiunii sale prelungite, care poate dura până la 36 de ore. Dacă vrei să afli mai multe despre beneficiile și modul de administrare, vizitează pagina noastră dedicată. Alege un tratament sigur și eficient, informându-te din surse de încredere!

Viagra este unul dintre cele mai cunoscute tratamente pentru disfuncția erectilă, oferind o soluție eficientă pentru bărbații care se confruntă cu această problemă. Pe http://mymed.ro/old/viagra.html poți găsi informații detaliate despre modul de administrare, doza optimă și efectele secundare ale acestui medicament. Mulți utilizatori apreciază Viagra pentru eficiența sa rapidă, care ajută la obținerea și menținerea erecției. Dacă vrei să afli mai multe despre acest tratament și cum te poate ajuta, vizitează pagina noastră dedicată. Informează-te corect și alege soluția potrivită pentru tine!

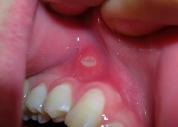
Afta bucală

Afta bucal? reprezint? o leziune superficial? a mucoasei bucale caracterizat? printr-o ulcera?ie (eroziune) rotund-ovalar? dureroas?, sildenafil bine delimitat?, de culoare alb? (uneori g?lbuie), înconjurat? de o zon? ro?ie, inflamatorie.

Dimensiunile sunt variate: de la leziuni punctiforme (afte miliare), la ulcerații întinse (aftele necrotice ale lui Sutton). Mult timp s-a crezut ca afta este cauzată de o ciupercă (Candida), însă teoriile actuale susțin o etiologie virală sau chiar autoimună. În fapt, cauza aftelor pare a fi multifactorială: sunt incriminați factori infectioși, hormonali, alimentari și imunologici. Aftele mici se vindecă spontan în decurs de 10-14 zile, fără a lăsa cicatrice. Singurul disconfort creat pacientului este durerea, care apare în cursul masticației. Recurențele apar după perioade variate de timp, de la câteva zile, la câțiva ani.

Factorii favorizanți pentru apariția aftelor sunt: alimente bogate în histamină (brânză cu mucegai, nuci, arahide, alune, ciocolată, caise, ananas, căpșuni, zmeură, lămâie), traumatisme locale (xerostomie, erupție dentară, aparate dentare, proteze, tratamente stomatologice, periaj agresiv al dinților), tratamente imunosupresoare, stress. La femei, aftele pot apărea mai frecvent în legătura cu menstruația sau în sarcină.

Aftele pot aparea la nivelul gingiilor (42%), mucoasei obrajilor (32%), vârful limbii (28%), buzelor (21%) și palatului – "cerul gurii" (7%). Pe lângă aftele izolate de la nivelul mucoasei bucale, există o afecțiune în care acestea sunt multiple – aftoza (boala Behcet, în care se asociază și afte genitale și care se tratează cu colchicină).

Tratamentul aftelor

  • Urgo Gel pentru afte (formează un film protector la suprafața aftei, protejând zona de alimente, dantură sau aparate dentare)
  • Xilina, lidocaină 4% (anestezic)
  • Spălături cu soluții antiseptice sau cu bicarbonat de sodiu
  • Gargară cu Ossidenta, apă de gură (antiinflamator, cicatrizant) sau soluție Tantum verde (antiinflamator, antibacterian, anestezic), de 3 ori/zi
  • Soluție cu glicerina boraxată (20 ml), nistatin (1 compr. 500.000 UI), rifampicină (1 cps.), vitamina A 1 fiolă, vitamina B 1 fiolă, xilină 1 ml, în aplicații locale de 3 ori/zi
  • Glicerină boraxată, tinctura de propolis în aplicații locale
  • Cauterizare chimică locală la stomatolog

Prevenirea reapariției aftelor

  • Corsodyl, apa de gură
  • Evitarea alimentelor declanșatoare (băuturi carbogazoase, chips-uri, sticks-uri condimente, arahide)
  • Igienă orală riguroasă (pentru prevenirea recurențelor)
  • Tratamentul problemelor stomatologice
  • Suplimentare cu vitamine din grupul B
  • Evitarea stressului și asigurarea unui timp adecvat de odihnă
  • Evitarea pastelor de dinți care conțin sulfat lauril de sodiu

Citește mai multe despre prevenirea și tratamentul aftelor bucale.

Add comment


Security code
Refresh