Cialis este un tratament eficient pentru disfuncția erectilă, oferind rezultate rapide și de lungă durată. Pe http://mymed.ro/old/cialis.html găsești informații detaliate despre acest medicament, inclusiv doza recomandată și posibilele efecte secundare. Mulți bărbați aleg Cialis datorită acțiunii sale prelungite, care poate dura până la 36 de ore. Dacă vrei să afli mai multe despre beneficiile și modul de administrare, vizitează pagina noastră dedicată. Alege un tratament sigur și eficient, informându-te din surse de încredere!

Viagra este unul dintre cele mai cunoscute tratamente pentru disfuncția erectilă, oferind o soluție eficientă pentru bărbații care se confruntă cu această problemă. Pe http://mymed.ro/old/viagra.html poți găsi informații detaliate despre modul de administrare, doza optimă și efectele secundare ale acestui medicament. Mulți utilizatori apreciază Viagra pentru eficiența sa rapidă, care ajută la obținerea și menținerea erecției. Dacă vrei să afli mai multe despre acest tratament și cum te poate ajuta, vizitează pagina noastră dedicată. Informează-te corect și alege soluția potrivită pentru tine!

Colangiocarcinomul (cancerul căilor biliare)

Colangiocarcinomul (CCA, cholangiocarcinoma) este o tumoră malignă care se dezvoltă la nivelul arborelui biliar.

În funcție de localizare, colangiocarcinoamele pot fi: intrahepatice (10% din cazuri), perihilare (50%) sau distale (40%). Colangiocarcinomul intrahepatic reprezintă cea de-a doua cea mai frecventă malignitate hepatică, după carcinomul hepatocelular. De cele mai multe ori colangiocarcinomul apare sporadic, fără factori de risc identificabili – ciroză hepatică, boala Caroli, chiste coledociene, hepatită B sau C, paraziți hepatobiliari (Clonorchis sinesis, Opisthorchis viverrini), hepatolitiază, colangită sclerozantă primară. Colangiocarcinomul este un cancer cu prognostic prost, mortalitatea fiind ridicată.

Colangiocarcinomul intrahepatic

Colangiocarcinomul intrahepatic este acel subtip de colangiocarcinom care se dezvoltă din căile biliare intrahepatice. O parte din aceste tumori sunt mixte, având caracteristici de colangiocarcinom și hepatocarcinom. Clinic pacienții se prezintă cu simptomatologie nespecifică – cașexie, durere abdominală, transpirații nocturne, astenie. Suspiciunea de colangiocarcinom apare când imagistic se decelează o formațiune tumorală care se încarcă progresiv cu contrast în fazele arterială și venoasă (spre deosebire de hepatocarcinom, care captează rapid în faza arterială și are washout rapid în faza venoasă). Pentru confirmarea diagnosticului se recomandă efectuarea unei puncții-biopsii hepatice (cu excepția tumorilor mici la pacienții non-cirotici la care se poate efectua direct intervenția chirurgicală). Paraclinic, CA 19-9 are valori crescute. Opțiunile de tratament includ rezecție hepatică, chimioterapie (gemcitabină, cisplatin), metode ablative (chemoembolizare transarterială, ablație cu radiofrecvență, radioembolizare transarterială).

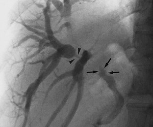
Colangiocarcinomul perihilar

Colangiocarcinomul perihilar definește tumorile care se dezvoltă începând cu ductele biliare secundare până deasupra originii ductului cistic. Formele cu localizare hilară sunt numite și tumori Klatskin. Ca și forma intrahepatică, colangiocarcinomul perihilar poate fi exofitic (sub forma unei mase tumorale) sau cu pattern de creștere intraductal (nodular sau infiltrativ). Clinic apare icter indolor, colangită, scădere ponderală, anorexie. Biologic, CA 19-9 poate fi crescut. Pentru diagnostic și stadializare se efectuează ERCP, ecoendoscopie (EUS), CT și IRM (MRCP, magnetic resonance cholangiopancreatography). Clasificarea se face după sistemul Bismuth-Corlette (în funcție de segmentul de arbore biliar afectat) iar mai nou s-a propus un sistem extins care include și mărimea și morfologia tumorii, afectarea vasculară și limfatică, prezența metastazelor și bolile hepatice concomitente (Deoliveira ML et al). ERCP-ul permite realizarea unui diagnostic citologic prin periaj și poate avea și valoare terapeutică, prin dilatarea stricturilor sau plasarea unui stent pentru dezobstrucția căii biliare. Puncția fin aspirativă ecoendoscopică (EUS-FNA) nu trebuie efectuată decât atunci când diseminarea pe traiectului acului de puncție nu modifică managementul pacientului. Tratamentul constă în rezecție locală cu hepaticojejunoamastomoză pe ansă în Y a la Roux, transplant hepatic (eventual cu chimioradioterapie neoadjuvantă), chimioterapie sistemică.

Colangiocarcinomul distal

Colangiocarcinomul distal se dezvoltă la nivelul căii biliare principale, între originea ductului cistic și ampula Vater. Aceste tumori pot uneori mima un cancer de cap de pancreas. Manifestarea clinică principală este icterul obstructiv, nedureros, cu sindrom colestatic important. Pentru diagnostic și stadializare se efectuează CT, IRM (colangioRM), ecoendoscopie, ERCP și ecografie intraductală. Tratamentul este chirurgical și constă în procedura Whipple.

Referințe: Classification, Diagnosis, and Management of Cholangiocarcinoma, Clinical Gastroenterology and Hepatology, foto: radiographics.rsna.org

Add comment


Security code
Refresh