Cialis este un tratament eficient pentru disfuncția erectilă, oferind rezultate rapide și de lungă durată. Pe http://mymed.ro/old/cialis.html găsești informații detaliate despre acest medicament, inclusiv doza recomandată și posibilele efecte secundare. Mulți bărbați aleg Cialis datorită acțiunii sale prelungite, care poate dura până la 36 de ore. Dacă vrei să afli mai multe despre beneficiile și modul de administrare, vizitează pagina noastră dedicată. Alege un tratament sigur și eficient, informându-te din surse de încredere!

Viagra este unul dintre cele mai cunoscute tratamente pentru disfuncția erectilă, oferind o soluție eficientă pentru bărbații care se confruntă cu această problemă. Pe http://mymed.ro/old/viagra.html poți găsi informații detaliate despre modul de administrare, doza optimă și efectele secundare ale acestui medicament. Mulți utilizatori apreciază Viagra pentru eficiența sa rapidă, care ajută la obținerea și menținerea erecției. Dacă vrei să afli mai multe despre acest tratament și cum te poate ajuta, vizitează pagina noastră dedicată. Informează-te corect și alege soluția potrivită pentru tine!

Forme particulare de pericardită

Formele particulare de pericardit? sunt cea tuberculoas?, diagnosis viral?, uremic?, neoplazic?, reumatismal?, post-infarct ?i purulent?.

PERICARDITA TUBERCULOASĂ

Este o formă severă de pericardită, întâlnită mai frecvent la copiişi adulţi tineri. Diseminarea bacilului Koch se face de la leziuni de vecinătate, de la adenopatii mediastinale sau pe cale hematogenă, de la un afect primar.

Evoluţia este insidioasă, iar simptomatologia este dominată de semnele de impregnare bacilară: subfebrilitate, slăbiciune musculară, astenie, transpiraţii nocturne, scădere ponderală. Pe lângă acestea, progresiv se instalează şi un tablou clasic de pericardită fibrino-exsudativă. Orientarea diagnosticului către etiologia bacilară se face pe baza antecedentelor de TBC sau leziunilor active în alte organe, IDR pozitiv, proces biologic inflamator (fibrinogen, proteină C reactivă şi VSH crescute, leucocitoză cu limfocitoză). Examenul lichidului pericardic (care poate fi purulent sau hemoragic) relevă o concentraţie scăzută de glucoză şi LDH. Culturile din lichid pe mediu Lowenstein confirmă prezenţa bacilul Koch. Dacă toate aceste investigaţii sunt negative, biopsia pericardică precizează diagnosticul de certitudine. Tratamentul este de lungă durată, între 6-12 luni, şi constă în administrarea asociată a 3 antituberculoase (izoniazidă, rifampicină, pirazinamidă, streptomicină, etambutol). Totodată, se vor administra si antiinflamatorii nesteroidiene sau steroidiene.

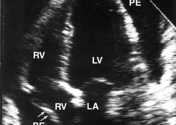
PERICARDITA PURULENTĂ

Infecţia pericardică cu piogeni apare de obicei la persoanele imunodeprimate sau tarate. Contaminarea pericardului se face fie prin extensie de la o leziune de vecinătate (infecţii pleuropulmonare – pleurezie, abces pulmonar, bronhopneumonie, abces mediastinal, supuraţii subdiafragmatice), fie pe cale hematogenă. Germenii cei mai frecvent implicaţi sunt stafilococi, streptococi, pneumococ, meningococ sau E. Coli. Pericardita purulentă este adesea lichidiană sau constrictivă, iar vindecarea se face cu sechele. Clinic, pacienţii prezintă febră, frisoane, transpiraţii şi insuficienţă cardiacă. Electrocardiograma evidenţiază modificări sugestive pentru miocardită: alungire segment PR, aritmii, modificarea fazei terminale. Lichidul pericaridic este purulent, iar examenul bacteriologic şi culturile identifică prezenţa germenilor. Tratamentul se face cu antibiotice cu spectru larg, apoi conform rezultatelor antibiogramei. Este mult mai eficientă instilarea antibioticelor direct în cavitatea pericardică.

PERICARDITA UREMICĂ

Apare la pacienţii cu insuficienţă renală cronică, în stadiul uremic, dar şi la cei cu nefropatii acute care asociază insuficienţă renală. Pericardita uremică este cel mai frecvent lichidiană, iar lichidul se reface rapid. Tratamentul este cel al cauzei – insuficienţa renală – dializă peritoneală şi hemodializă. Dacă apare tamponada cardiacă, se va practica pericardiocenteza evacuatorie sau pericardiotomia minimă cu drenaj.

PERICARDITA NEOPLAZICĂ

Extensia neoplazică la pericard poate apărea de la cancere de vecinătate, de la adenopatii neoplazice de vecinătate sau prin metastazare la distanţă a unor cancere cu alte localizări (cancer bronhopulmonar, cancer mamar, limfoame). Pericardita neoplazică este de obicei lichidiană şi evoluează rapid către tamponadă pericardică. Tratamentul constă în administrarea pe cale sistemică şi prin instilare intrapericardică de citostatice. Este necesară şi efectuarea periodică de pericardiocenteze evacuatorii.

PERICARDITA REUMATISMALĂ

Este adesea asociată cu endocardită şi/sau miocardită reumatismală. Diagnosticul este orientat pe baza creşterii titrului ASLO, a fibrinogenului şi a alfa-globulinelor, alături de modificări EKG specifice reumatismului articular acut (RAA) – BAV gradul I. Tratamentul se suprapune peste cel al RAA – corticoterapie.

PERICARDITA VIRALĂ

Este o pericardită fibrinoasă cu evoluţie bună, rareori asociind şi acumularea de lichid intrapericardic. Constricţia sau tamponada sunt excepţionale. Apare frecvent în cadrul unei pneumopatii virale şi este precedată de prodrom viral (subfebră, astenie, mialgii, tuse seacă, coriză), care estompează tabloul de pericardită. Se recomandă administrarea de antiinflamatorii nesteroidiene (şi steroidiene în caz de pericardită lichidiană), antipiretice şi antibiotice (dacă se suspicionează suprainfectarea bacteriană).

PERICARDITA POST-INFARCT MIOCARDIC

La un pacient cu simptomatologie de infarct miocardic, singurul element diagnostic care orientează medicul spre pericardită este frecătura pericardică. În cazul sindromului Dressler, pericardita apare la aproximativ 3 săptămâni de la infarct şi se manifestă cu durere precordială de tip pleuropulmonar, febră şi frecătură pericardică.

 

Add comment


Security code
Refresh