 
								 
								Aspectul tubular al cordului este caracteristic stadiilor incipiente de dezvoltare embrionar? a aparatului cardiovascular, look începând cu ziua 21, try când se formeaz? tubul cardiac primitiv, ?i pân? la sfâr?itul s?pt?mânii a 7-a, când dezvoltarea este complet?.
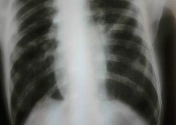
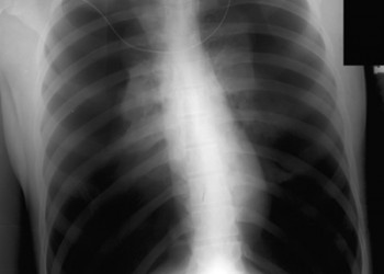
La nou-născut, silueta cardiacă reprezintă circa 1/3 din lățimea toracelui. Ce facem când vedem o radiografie cum este cea din imagine la un adult?
Nu este vorba despre o malformație, ci despre un cord tubular, cel mai adesea în cadrul unei patologii pleuro-pulmonare. Acest aspect apare atunci când diametrul maxim orizontal al cordului este sub 11 cm sau indicele cardio-toracic (raportul dintre diametrul cardiac transvers maxim şi diametrul toracic transvers maxim) este sub 1/3.
Cordul tubular poate fi întâlnit în BPOC cu emfizem sever, astm bronșic, alte sindroame de hiperinflație pulmonară, pneumotorax bilateral sau obstrucție de bronhii principale (cu colabarea plămânului în hil) și în unele cauze de insuficiență adrenală (boala Addison), datorită hipovolemiei cronice și încărcării volemice scăzute a aparatului cardiocirculator.
În cazul bolilor pulmonare obstructive, consecința acestei “înghesuiri” a cordului de către plămânul hiperinflat este umplerea deficitară a ventriculului stâng, disfuncție diastolică și debit cardiac scăzut.
foto: radiology.vcu.edu, drsvenkatesan.wordpress.com
 
																									